missing translation for 'onlineSavingsMsg'
Learn More

THOC2 Antibody, Novus Biologicals™

Artikelnummer. 18071997 Alle ansehen Bio Techne Produkte
Change view
Click to view available options
Menge:
100 μL
Packungsgröße:
100 Mikroliter
1 product options available for selection
Product selection table with 1 available options. Use arrow keys to navigate and Enter or Space to select.
Artikelnummer. Menge unitSize
18071997 100 μL 100 Mikroliter
Use arrow keys to navigate between rows. Press Enter or Space to select a product option. 1 options available.
1 options
Dieser Artikel kann nicht zurückgegeben werden. Rückgaberichtlinie anzeigen
Artikelnummer. 18071997 Lieferant Novus Biologicals Lieferanten-Nr. NBP204056

om dit product te kopen Registreer vandaag om een webaccount aan te maken

Dieser Artikel kann nicht zurückgegeben werden. Rückgaberichtlinie anzeigen

Rabbit Polyclonal Antibody

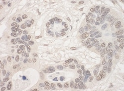
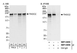
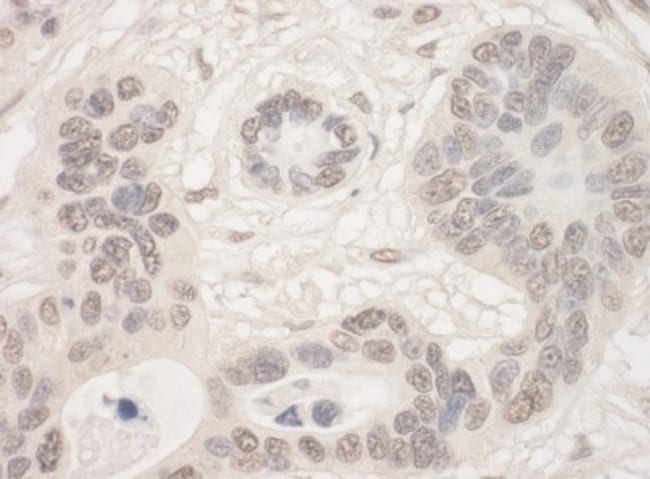
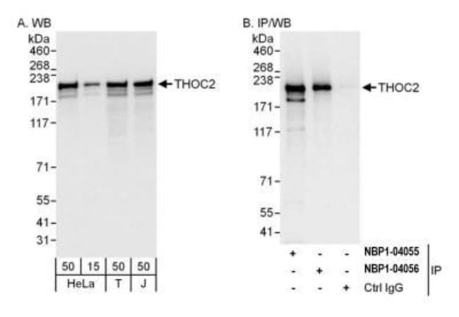
THOC2 Polyclonal specifically detects THOC2 in Human samples. It is validated for Western Blot, Immunohistochemistry, Immunoprecipitation, Immunohistochemistry-Paraffin.
TRUSTED_SUSTAINABILITY

Spezifikation

Antigen THOC2
Anwendungen Western Blot, Immunohistochemistry, Immunoprecipitation, Immunohistochemistry (Paraffin)
Klassifikation Polyclonal
Konzentration 1.0 mg/mL
Konjugat Unconjugated
Verdünnung Western Blot 1:2000-1:10000, Immunohistochemistry 1:10-1:500, Immunoprecipitation 2-10 mcg/mg, Immunohistochemistry-Paraffin 1:10-1:500
Zusammensetzung Tris-Citrate/Phosphate (pH 7.0 - 8.0) with 0.09% Sodium Azide
Gen-Alias CXorf3, dJ506G2.1, hTREX120, THO complex 2, THO complex subunit 2
Gensymbole THOC2
Wirtsspezies Rabbit
Immunogen The immunogen recognized by this antibody maps to a region between residue 1543 to 1593 of human THO Complex 2 using the numbering given in entry NP_001075019.1 (GeneID 57187).
Reinigungsverfahren Affinity Purified
Menge 100 μL
Regulatorischer Status RUO
Primär oder sekundär Primary
Gen-ID (Entrez) 57187
Zielspezies Human
Inhalt und Lagerung Store at 4C. Do not freeze.
Isotype IgG
Mehr anzeigen Weniger anzeigen

For Research Use Only

Name des Produkts
Wählen Sie ein Thema

Indem Sie auf Absenden klicken, erklären Sie sich damit einverstanden, dass Fisher Scientific sich mit Ihnen in Verbindung setzen kann, um Ihr Feedback in diesem Formular zu bearbeiten. Wir werden Ihre Informationen nicht für andere Zwecke weitergeben. Alle bereitgestellten Kontaktinformationen werden in Übereinstimmung mit unserer Datenschutzrichtlinie aufbewahrt. Datenschutzrichtlinie.