missing translation for 'onlineSavingsMsg'
Learn More

PIG3 Antibody, Novus Biologicals™

Artikelnummer. 18474491 Alle ansehen Bio Techne Produkte
Change view
Click to view available options
Menge:
0.1 mL
25 μL
Packungsgröße:
0.10 Milliliter
25 Mikroliter
2 product options available for selection
Product selection table with 2 available options. Use arrow keys to navigate and Enter or Space to select.
Artikelnummer. Menge unitSize
18474491 25 μL 25 Mikroliter
18204637 0.1 mL 0.10 Milliliter
Use arrow keys to navigate between rows. Press Enter or Space to select a product option. 2 options available.
2 options
Dieser Artikel kann nicht zurückgegeben werden. Rückgaberichtlinie anzeigen
Artikelnummer. 18474491 Lieferant Novus Biologicals Lieferanten-Nr. NBP18727425ul

om dit product te kopen Registreer vandaag om een webaccount aan te maken

Dieser Artikel kann nicht zurückgegeben werden. Rückgaberichtlinie anzeigen

Rabbit Polyclonal Antibody

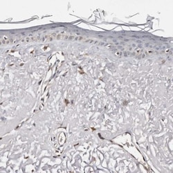
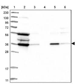
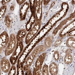
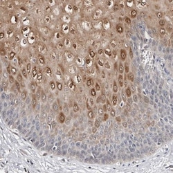
PIG3 Polyclonal specifically detects PIG3 in Human samples. It is validated for Western Blot, Immunohistochemistry, Immunohistochemistry-Paraffin.
TRUSTED_SUSTAINABILITY

Spezifikation

Antigen PIG3
Anwendungen Western Blot, Immunohistochemistry, Immunohistochemistry (Paraffin)
Klassifikation Polyclonal
Konjugat Unconjugated
Verdünnung Western Blot 0.4 ug/ml, Immunohistochemistry 1:200 - 1:500, Immunohistochemistry-Paraffin 1:200 - 1:500
Zusammensetzung PBS (pH 7.2) and 40% Glycerol with 0.02% Sodium Azide
Gen-Alias p53-induced gene 3 protein, PIG3quinone oxidoreductase homolog, quinone oxidoreductase PIG3, tumor protein p53 inducible protein 3, Tumor protein p53-inducible protein 3
Gensymbole TP53I3
Wirtsspezies Rabbit
Immunogen This antibody was developed against Recombinant Protein corresponding to amino acids:GRWVLYGLMGGGDINGPLFSKLLFKRGSLITSLLRSRDNKYKQMLVNAFTEQILPHFSTEGPQRLLPVLDRIYPVTEIQEAHKYMEANKNIGKIVLEL
Reinigungsverfahren Affinity Purified
Menge 25 μL
Regulatorischer Status RUO
Forschungsgebiet Apoptosis
Primär oder sekundär Primary
Gen-ID (Entrez) 9540
Testspezifität Specificity of antibody verified on a Protein Array containing target protein plus 383 other non-specific proteins.
Zielspezies Human
Inhalt und Lagerung Store at 4C short term. Aliquot and store at -20C long term. Avoid freeze-thaw cycles.
Isotype IgG
Mehr anzeigen Weniger anzeigen

For Research Use Only

Name des Produkts
Wählen Sie ein Thema

Indem Sie auf Absenden klicken, erklären Sie sich damit einverstanden, dass Fisher Scientific sich mit Ihnen in Verbindung setzen kann, um Ihr Feedback in diesem Formular zu bearbeiten. Wir werden Ihre Informationen nicht für andere Zwecke weitergeben. Alle bereitgestellten Kontaktinformationen werden in Übereinstimmung mit unserer Datenschutzrichtlinie aufbewahrt. Datenschutzrichtlinie.