missing translation for 'onlineSavingsMsg'
Learn More

DCAF11 Antibody, Novus Biologicals™

Artikelnummer. 18062824 Alle ansehen Bio Techne Produkte
Change view
Click to view available options
Menge:
100 μL
Packungsgröße:
100 Mikroliter
1 product options available for selection
Product selection table with 1 available options. Use arrow keys to navigate and Enter or Space to select.
Artikelnummer. Menge unitSize
18062824 100 μL 100 Mikroliter
Use arrow keys to navigate between rows. Press Enter or Space to select a product option. 1 options available.
1 options
Dieser Artikel kann nicht zurückgegeben werden. Rückgaberichtlinie anzeigen
Artikelnummer. 18062824 Lieferant Novus Biologicals Lieferanten-Nr. NBP157691

om dit product te kopen Registreer vandaag om een webaccount aan te maken

Dieser Artikel kann nicht zurückgegeben werden. Rückgaberichtlinie anzeigen

Rabbit Polyclonal Antibody

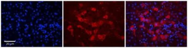
DCAF11 Polyclonal specifically detects DCAF11 in Human samples. It is validated for Western Blot, Immunohistochemistry, Immunocytochemistry/Immunofluorescence, Immunohistochemistry-Paraffin.
TRUSTED_SUSTAINABILITY

Spezifikation

Antigen DCAF11
Anwendungen Western Blot, Immunohistochemistry, Immunohistochemistry (Paraffin), Immunofluorescence, Immunohistochemistry (Paraffin)
Klassifikation Polyclonal
Konzentration 0.5 mg/ml
Konjugat Unconjugated
Verdünnung Western Blot 1.0 ug/ml, Immunohistochemistry 1:10-1:500, Immunohistochemistry-Paraffin
Zusammensetzung PBS, 2% Sucrose with 0.09% Sodium Azide
Gen-Zugriffsnummer Q8TEB1
Gen-Alias DDB1 and CUL4 associated factor 11, DDB1- and CUL4-associated factor 11, GL014, PRO2389, WD repeat domain 23, WD repeat-containing protein 23, WDR23DKFZp779A1629
Gensymbole DCAF11
Wirtsspezies Rabbit
Immunogen Synthetic peptides corresponding to WDR23(WD repeat domain 23) The peptide sequence was selected from the N terminal of WDR23. Peptide sequence GSRNSSSAGSGSGDPSEGLPRRGAGLRRSEEEEEEDEDVDLAQVLAYLLR.
Molekulargewicht des Antigens 62 kDa
Reinigungsverfahren Affinity purified
Menge 100 μL
Regulatorischer Status RUO
Primär oder sekundär Primary
Gen-ID (Entrez) 80344
Testspezifität Reacts with: Rhesus macaque, Sumatran orangutan.
Rekonstitution Centrifuge the vial of lyoph antibody at 12,000 x g for 20 seconds. Add 50μL of distilled water. Vortex followed by centrifuge again to pellet the solution.Final concentration is 1mg/mL in PBS buffer.
Zielspezies Human, Mouse, Rat, Bovine, Canine, Equine, Guinea Pig, Rabbit
Inhalt und Lagerung Store at 4°C short term. Aliquot and store at -20°C long term. Avoid freeze-thaw cycles.
Isotype IgG
Mehr anzeigen Weniger anzeigen

For Research Use Only

Name des Produkts
Wählen Sie ein Thema

Indem Sie auf Absenden klicken, erklären Sie sich damit einverstanden, dass Fisher Scientific sich mit Ihnen in Verbindung setzen kann, um Ihr Feedback in diesem Formular zu bearbeiten. Wir werden Ihre Informationen nicht für andere Zwecke weitergeben. Alle bereitgestellten Kontaktinformationen werden in Übereinstimmung mit unserer Datenschutzrichtlinie aufbewahrt. Datenschutzrichtlinie.