missing translation for 'onlineSavingsMsg'
Learn More

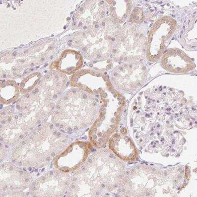
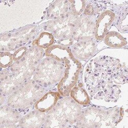
CLCNKA Antibody, Novus Biologicals™

Artikelnummer. 18616045 Alle ansehen Bio Techne Produkte
Change view
Click to view available options
Menge:
0.1 mL
25 μL
Packungsgröße:
0.10 Milliliter
25 Mikroliter
2 product options available for selection
Product selection table with 2 available options. Use arrow keys to navigate and Enter or Space to select.
Artikelnummer. Menge unitSize
18616045 25 μL 25 Mikroliter
18617065 0.1 mL 0.10 Milliliter
Use arrow keys to navigate between rows. Press Enter or Space to select a product option. 2 options available.
2 options
Dieser Artikel kann nicht zurückgegeben werden. Rückgaberichtlinie anzeigen
Artikelnummer. 18616045 Lieferant Novus Biologicals Lieferanten-Nr. NBP24684225ul

om dit product te kopen Registreer vandaag om een webaccount aan te maken

Dieser Artikel kann nicht zurückgegeben werden. Rückgaberichtlinie anzeigen

Rabbit Polyclonal Antibody

CLCNKA Polyclonal antibody specifically detects CLCNKA in Human samples. It is validated for Immunohistochemistry, Immunohistochemistry (Paraffin)
TRUSTED_SUSTAINABILITY

Spezifikation

Antigen CLCNKA
Anwendungen Immunohistochemistry, Immunohistochemistry (Paraffin)
Klassifikation Polyclonal
Konjugat Unconjugated
Verdünnung Immunohistochemistry 1:200 - 1:500, Immunohistochemistry-Paraffin 1:200 - 1:500
Zusammensetzung PBS (pH 7.2), 40% Glycerol
Gen-Zugriffsnummer P51800
Gen-Alias chloride channel KaMGC61490, hClC-Ka, kidney, A
Wirtsspezies Rabbit
Immunogen This antibody was developed against Recombinant Protein corresponding to amino acids: IVKKLPYLPRILGRNIGSHHVRVEHFMNHSITTLA
Reinigungsverfahren Immunogen affinity purified
Menge 25 μL
Regulatorischer Status RUO
Forschungsgebiet Cancer, Endocrinology, Neuroscience, Signal Transduction
Primär oder sekundär Primary
Gen-ID (Entrez) 1187
Zielspezies Human
Inhalt und Lagerung Store at 4°C short term. Aliquot and store at -20°C long term. Avoid freeze-thaw cycles.
Form Purified
Isotype IgG
Mehr anzeigen Weniger anzeigen
Name des Produkts
Wählen Sie ein Thema

Indem Sie auf Absenden klicken, erklären Sie sich damit einverstanden, dass Fisher Scientific sich mit Ihnen in Verbindung setzen kann, um Ihr Feedback in diesem Formular zu bearbeiten. Wir werden Ihre Informationen nicht für andere Zwecke weitergeben. Alle bereitgestellten Kontaktinformationen werden in Übereinstimmung mit unserer Datenschutzrichtlinie aufbewahrt. Datenschutzrichtlinie.