missing translation for 'onlineSavingsMsg'
Learn More

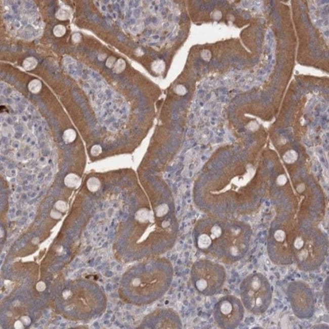
Chitobiase/CTBS Antibody, Novus Biologicals™

Artikelnummer. 18208096 Alle ansehen Bio Techne Produkte
Change view
Click to view available options
Menge:
0.1 mL
25 μL
Packungsgröße:
0.10 Milliliter
25 Mikroliter
2 product options available for selection
Product selection table with 2 available options. Use arrow keys to navigate and Enter or Space to select.
Artikelnummer. Menge unitSize
18208096 0.1 mL 0.10 Milliliter
18442402 25 μL 25 Mikroliter
Use arrow keys to navigate between rows. Press Enter or Space to select a product option. 2 options available.
2 options
Dieser Artikel kann nicht zurückgegeben werden. Rückgaberichtlinie anzeigen
Artikelnummer. 18208096 Lieferant Novus Biologicals Lieferanten-Nr. NBP185388

om dit product te kopen Registreer vandaag om een webaccount aan te maken

Dieser Artikel kann nicht zurückgegeben werden. Rückgaberichtlinie anzeigen

Rabbit Polyclonal Antibody

Chitobiase/CTBS Polyclonal specifically detects Chitobiase/CTBS in Human samples. It is validated for Immunohistochemistry, Immunohistochemistry-Paraffin.
TRUSTED_SUSTAINABILITY

Spezifikation

Antigen Chitobiase/CTBS
Anwendungen Immunohistochemistry, Immunohistochemistry (Paraffin)
Klassifikation Polyclonal
Konjugat Unconjugated
Verdünnung Immunohistochemistry, Immunohistochemistry-Paraffin 1:20 - 1:50
Zusammensetzung PBS (pH 7.2) and 40% Glycerol with 0.02% Sodium Azide
Gen-Alias chitobiase, di-N-acetyl-, CTBdi-N-acetylchitobiase, EC 3.2.1.-
Gensymbole CTBS
Wirtsspezies Rabbit
Immunogen This antibody was developed against Recombinant Protein corresponding to amino acids:VSLKDIIDPAFRASWIAQKLNLAKTQYMDGINIDIEQEVNCLSPEYDALTALVKETTDSFHREIEGSQVTFDVAWSPKNIDRRCYNYTGIADACDFLFV
Reinigungsverfahren Affinity Purified
Menge 0.1 mL
Regulatorischer Status RUO
Primär oder sekundär Primary
Gen-ID (Entrez) 1486
Testspezifität Specificity of antibody verified on a Protein Array containing target protein plus 383 other non-specific proteins.
Zielspezies Human
Inhalt und Lagerung Store at 4C short term. Aliquot and store at -20C long term. Avoid freeze-thaw cycles.
Isotype IgG
Mehr anzeigen Weniger anzeigen

For Research Use Only

Name des Produkts
Wählen Sie ein Thema

Indem Sie auf Absenden klicken, erklären Sie sich damit einverstanden, dass Fisher Scientific sich mit Ihnen in Verbindung setzen kann, um Ihr Feedback in diesem Formular zu bearbeiten. Wir werden Ihre Informationen nicht für andere Zwecke weitergeben. Alle bereitgestellten Kontaktinformationen werden in Übereinstimmung mit unserer Datenschutzrichtlinie aufbewahrt. Datenschutzrichtlinie.