missing translation for 'onlineSavingsMsg'
Learn More

CD117/c-kit Antibody (CL1667) - Azide and BSA Free, Novus Biologicals™

Artikelnummer. 30287590 Alle ansehen Bio Techne Produkte
Change view
Click to view available options
Menge:
100 μL
Packungsgröße:
100 Mikroliter
1 product options available for selection
Product selection table with 1 available options. Use arrow keys to navigate and Enter or Space to select.
Artikelnummer. Menge unitSize
30287590 100 μL 100 Mikroliter
Use arrow keys to navigate between rows. Press Enter or Space to select a product option. 1 options available.
1 options
Dieser Artikel kann nicht zurückgegeben werden. Rückgaberichtlinie anzeigen
Artikelnummer. 30287590 Lieferant Novus Biologicals Lieferanten-Nr. NBP344073

om dit product te kopen Registreer vandaag om een webaccount aan te maken

Dieser Artikel kann nicht zurückgegeben werden. Rückgaberichtlinie anzeigen

Mouse Monoclonal Antibody

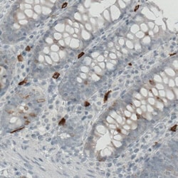
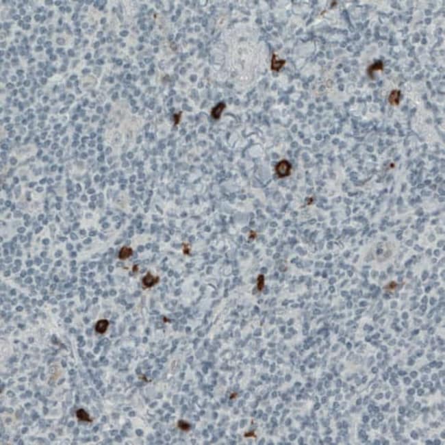
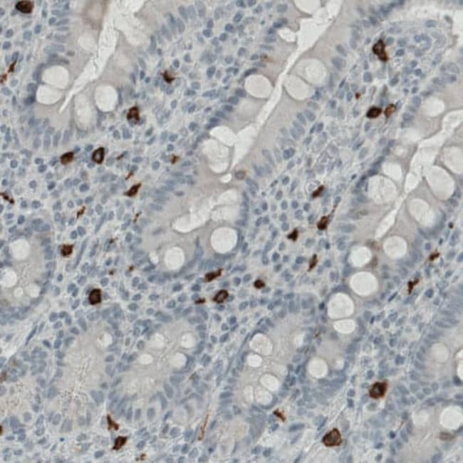
CD117/c-kit Monoclonal antibody specifically detects CD117/c-kit in Human samples. It is validated for Western Blot,Immunohistochemistry (Paraffin),Immunohistochemistry
TRUSTED_SUSTAINABILITY

Spezifikation

Antigen CD117/c-kit
Anwendungen Western Blot, Immunohistochemistry (Paraffin), Immunohistochemistry
Klassifikation Monoclonal
Klon CL1667
Konzentration LYOPH
Konjugat Unconjugated
Verdünnung Western Blot 1 μg/mL, Immunohistochemistry-Paraffin 1:200 - 1:500
Zusammensetzung Lyophilized in 5% Trehalose.
Gen-Alias CD117, CD117 antigen, ckit, C-Kit, EC 2.7.10, EC 2.7.10.1, PBT, piebald trait, Proto-oncogene c-Kit, proto-oncogene tyrosine-protein kinase Kit, SCFRmast/stem cell growth factor receptor, soluble KIT variant 1, Tyrosine-protein kinase Kit, v-kit Hardy-Zuckerman 4 feline sarcoma viral oncogene homolog, v-kit Hardy-Zuckerman 4 feline sarcoma viral oncogene-like protein
Wirtsspezies Mouse
Immunogen This antibody was generated using a recombinant protein sequence of P10721, with the exact immunogen sequence remaining proprietary.
Reinigungsverfahren Protein A purified
Menge 100 μL
Regulatorischer Status RUO
Forschungsgebiet B Cell Development and Differentiation Markers, Cancer, Cancer Stem Cells, Cellular Markers, Cytokine Research, Hematopoietic Stem Cell Markers, Immunology, Innate Immunity, Mast Cell Markers, Mesenchymal Stem Cell Markers, Myeloid derived Suppressor Cell, Phospho Specific, Protein Kinase, Signal Transduction, Stem Cell Markers, Tyrosine Kinases
Primär oder sekundär Primary
Gen-ID (Entrez) 3815
Rekonstitution Centrifuge the vial of lyophilized antibody at 12,000 x g for 20 seconds. Reconstitute by adding sterile, distilled water to achieve a final antibody concentration of 1mg/mL.
Zielspezies Human
Inhalt und Lagerung Store at 4⪚C short term. Aliquot and store at -20⪚C long term. Avoid freeze-thaw cycles.
Form Purified
Isotype IgG2a
Mehr anzeigen Weniger anzeigen
Name des Produkts
Wählen Sie ein Thema

Indem Sie auf Absenden klicken, erklären Sie sich damit einverstanden, dass Fisher Scientific sich mit Ihnen in Verbindung setzen kann, um Ihr Feedback in diesem Formular zu bearbeiten. Wir werden Ihre Informationen nicht für andere Zwecke weitergeben. Alle bereitgestellten Kontaktinformationen werden in Übereinstimmung mit unserer Datenschutzrichtlinie aufbewahrt. Datenschutzrichtlinie.