missing translation for 'onlineSavingsMsg'
Learn More
Learn More
Beschreibung
Immunogen sequence: EPGGDIQQEA LGDQLQLVEE EFALQGVNAL KEEACPGDTQ LEEGRKEPEA PGEMPAPAVH LASPQAESTA LPPCELETT Highest antigen sequence identity to the following orthologs: Mouse - 60%, Rat - 61%.
This gene encodes a protein that likely binds DNA and functions as a transcriptional regulator involved in apoptosis and cell survival. This gene resides in a susceptibility locus for autoimmune thyroid disease (AITD) on chromosome 8q24. Alternative splicing results in multiple transcript variants encoding distinct isoforms.
Spezifikation
Spezifikation
| Antigen | ZFAT |
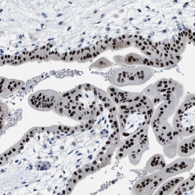
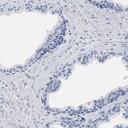
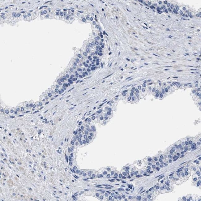
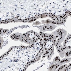
| Anwendungen | ChIP Assay, Immunohistochemistry (Paraffin) |
| Klassifikation | Polyclonal |
| Konzentration | 1.1 mg/mL |
| Konjugat | Unconjugated |
| Zusammensetzung | PBS with 40% glycerol and 0.02% sodium azide; pH 7.2 |
| Gen | ZFAT |
| Gen-Zugriffsnummer | Q9P243 |
| Gen-Alias | AITD3; Gm922; KIAA1485; ZFAT; ZFAT zinc finger 1; ZFAT1; Zfp406; zinc finger and AT hook domain containing; zinc finger and AT-hook domain containing; Zinc finger gene in AITD susceptibility region; zinc finger gene in autoimmune thyroid disease; zinc finger protein 403; zinc finger protein 406; Zinc finger protein ZFAT; zinc-finger gene in AITD susceptibility region; ZNF406 |
| Gensymbole | ZFAT |
| Mehr anzeigen |
Name des Produkts
Indem Sie auf Absenden klicken, erklären Sie sich damit einverstanden, dass Fisher Scientific sich mit Ihnen in Verbindung setzen kann, um Ihr Feedback in diesem Formular zu bearbeiten. Wir werden Ihre Informationen nicht für andere Zwecke weitergeben. Alle bereitgestellten Kontaktinformationen werden in Übereinstimmung mit unserer Datenschutzrichtlinie aufbewahrt. Datenschutzrichtlinie.
Haben Sie Verbesserungsvorschläge?
