missing translation for 'onlineSavingsMsg'
Learn More
Learn More
Invitrogen™ STRA8 Polyclonal Antibody

Rabbit Polyclonal Antibody
Marke: Invitrogen™ PA550577
Dieser Artikel kann nicht zurückgegeben werden.
Rückgaberichtlinie anzeigen
Beschreibung
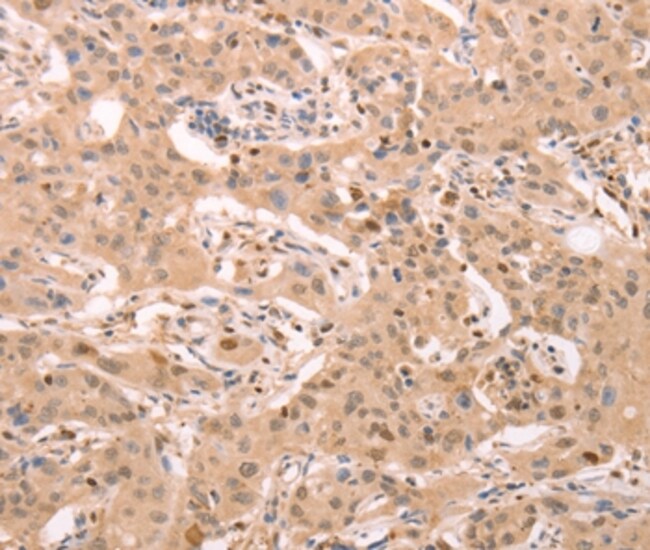
The antibody detects endogenous levels of total STRA8 protein.
Meiosis-inducer required for the transition into meiosis for both female and male germ cells. In female germ cells, required for premeiotic DNA replication and subsequent events in meiotic prophase. During spermatogenesis, next to its role in meiotic initiation, promotes (but is not required for) spermatogonial differentiation. Can associate with DNA (possibly in an indirect manner), and in vitro can activate DNA transcription.
Spezifikation
| STRA8 | |
| Polyclonal | |
| Unconjugated | |
| STRA8 | |
| RGD1562852; stimulated by retinoic acid 8; stimulated by retinoic acid 8 homolog; stimulated by retinoic acid gene 8; stimulated by retinoic acid gene 8 homolog; stimulated by retinoic acid gene 8 protein; Stimulated by retinoic acid gene 8 protein homolog; stra8 | |
| Rabbit | |
| Antigen affinity chromatography | |
| RUO | |
| 346673 | |
| -20°C | |
| Liquid |
| Immunohistochemistry (Paraffin) | |
| 1 mg/mL | |
| PBS with 40% glycerol and 0.05% sodium azide; pH 7.4 | |
| Q7Z7C7 | |
| STRA8 | |
| Synthetic peptide corresponding to a region derived from internal residues of human stimulated by retinoic acid 8. | |
| 100 μL | |
| Primary | |
| Human | |
| Antibody | |
| IgG |
Berichtigung von Produktinhalten
Bitte geben Sie uns Ihr Feedback zu den Produktinhalten, indem Sie das folgende Formular ausfüllen.
Name des Produkts
Haben Sie Verbesserungsvorschläge?Übermitteln Sie eine inhaltliche Korrektur