missing translation for 'onlineSavingsMsg'
Learn More

Invitrogen™ MMP7 Recombinant Rabbit Monoclonal Antibody (8T4R8)

Rabbit Recombinant Monoclonal Antibody

Marke:  Invitrogen™ MA551356

Artikelnummer. 18065651

  • 418.00 CHF / 100 Mikroliter

om dit product te kopen Registreer vandaag om een webaccount aan te maken

Dieser Artikel kann nicht zurückgegeben werden. Rückgaberichtlinie anzeigen

Beschreibung

Beschreibung

Immunogen sequence: MRLTVLCAVC LLPGSLALPL PQEAGGMSEL QWEQAQDYLK RFYLYDSETK NANSLEAKLK EMQKFFGLPI TGMLNSRVIE IMQKPRCGVP DVAEYSLFPN SPKWTSKVVT YRIVSYTRDL PHITVDRLVS KALNMWGKEI PLHFRKVVWG TADIMIGFAR GAHGDSYPFD GPGNTLAHAF APGTGLGGDA HFDEDERWTD GSSLGINFLY AATHELGHSL GMGHSSDPNA VMYPTYGNGD PQNFKLSQDD IKGIQKLYGK RSNSRKK.

Proteins of the matrix metalloproteinase (MMP) family are involved in the breakdown of extracellular matrix in normal physiological processes, such as embryonic development, reproduction, and tissue remodeling, as well as in disease processes, such as arthritis and metastasis. Most MMP's are secreted as inactive proproteins which are activated when cleaved by extracellular proteinases. The enzyme encoded by this gene degrades proteoglycans, fibronectin, elastin and casein and differs from most MMP family members in that it lacks a conserved C-terminal protein domain. The enzyme is involved in wound healing, and studies in mice suggest that it regulates the activity of defensins in intestinal mucosa. The gene is part of a cluster of MMP genes which localize to chromosome 11q22. 3.
TRUSTED_SUSTAINABILITY
Spezifikation

Spezifikation

MMP7
Recombinant Monoclonal
1 mg/mL
PBS with 0.05% BSA, 50% glycerol and 0.05% ProClin 300; pH 7.3
P09237
MMP7
Recombinant fusion protein containing a sequence corresponding to amino acids 1-267 of human MMP7 (P09237).
100 μL
Primary
Human
Antibody
Liquid
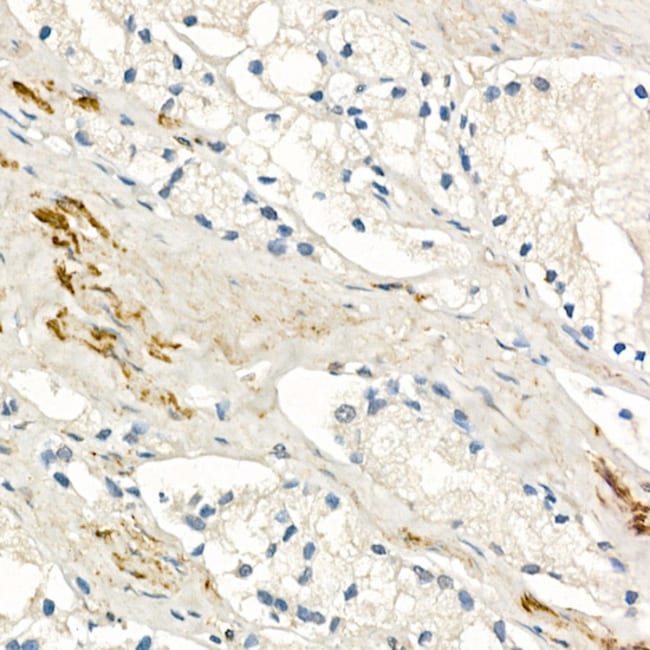
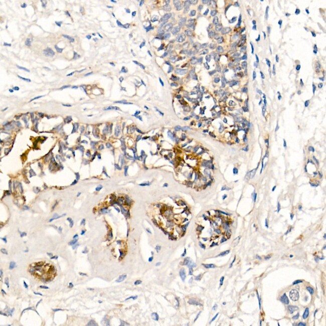
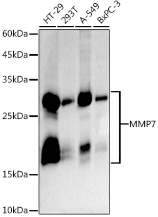
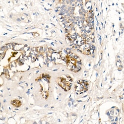
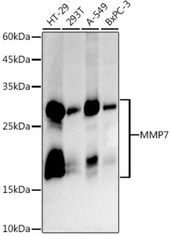
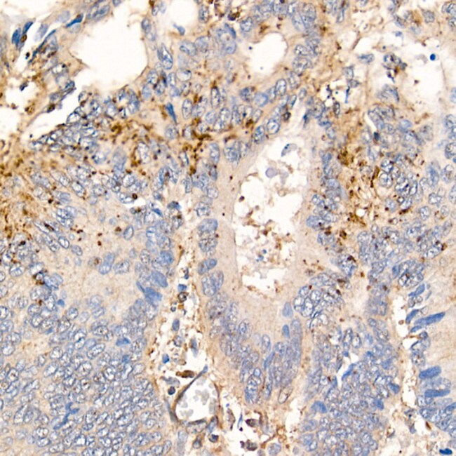
ELISA, Immunohistochemistry (Paraffin), Western Blot
8T4R8
Unconjugated
MMP7
HGNC:7174; MAT; Matrilysin; matrilysin, uterine; matrin; matrix metallo protease; matrix metallopeptidase 7; matrix metallopeptidase 7 (matrilysin, uterine); matrix metalloproteinase 7; Matrix metalloproteinase 7 (matrilysin); matrix metalloproteinase 7 (matrilysin, uterine); matrix metalloproteinase-7; MMP; MMP 7; MMP7; Mmp-7; MMP-7 protein; MMPs; MPMM; MPSL1; PUMP 1; Pump 1 protease; PUMP1; PUMP-1; pump-1 protease; uterine matrilysin; uterine metalloproteinase
Rabbit
Affinity chromatography
RUO
4316
-20°C, Avoid Freeze/Thaw Cycles
Liquid
IgG
Produktvorschläge

Produktvorschläge

Videos
Sicherheitsdatenblatt (SDS)
Dokumentation

Dokumentation

Zertifikate
Aktionen

Aktionen

Berichtigung von Produktinhalten

Bitte geben Sie uns Ihr Feedback zu den Produktinhalten, indem Sie das folgende Formular ausfüllen.

Name des Produkts

Indem Sie auf Absenden klicken, erklären Sie sich damit einverstanden, dass Fisher Scientific sich mit Ihnen in Verbindung setzen kann, um Ihr Feedback in diesem Formular zu bearbeiten. Wir werden Ihre Informationen nicht für andere Zwecke weitergeben. Alle bereitgestellten Kontaktinformationen werden in Übereinstimmung mit unserer Datenschutzrichtlinie aufbewahrt. Datenschutzrichtlinie.

Vielen Dank, dass Sie uns helfen, unsere Website zu verbessern. Ihr Feedback wurde übermittelt