missing translation for 'onlineSavingsMsg'
Learn More

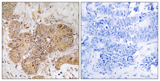
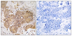
Invitrogen™ LUC7L2 Polyclonal Antibody

Artikelnummer. 15886063
Change view
Click to view available options
Menge:
100 μL
Packungsgröße:
100 Mikroliter
1 product options available for selection
Product selection table with 1 available options. Use arrow keys to navigate and Enter or Space to select.
Artikelnummer. Menge unitSize
15886063 100 μL 100 Mikroliter
Use arrow keys to navigate between rows. Press Enter or Space to select a product option. 1 options available.
1 options
Dieser Artikel kann nicht zurückgegeben werden. Rückgaberichtlinie anzeigen
Artikelnummer. 15886063 Lieferant Invitrogen™ Lieferanten-Nr. PA567649

om dit product te kopen Registreer vandaag om een webaccount aan te maken

Dieser Artikel kann nicht zurückgegeben werden. Rückgaberichtlinie anzeigen

Rabbit Polyclonal Antibody

Predicted to react with Mouse samples.

This gene encodes a protein that contains a C2H2-type zinc finger, coiled-coil region and arginine, serine-rich (RS) domain. A similar protein in mouse interacts with sodium channel modifier 1, and the encoded protein may be involved in the recognition of non-consensus splice donor sites in association with the U1 snRNP spliceosomal subunit. Alternatively spliced transcript variants encoding multiple isoforms have been observed for this gene.
TRUSTED_SUSTAINABILITY

Spezifikation

Antigen LUC7L2
Anwendungen Immunohistochemistry (Paraffin), Western Blot
Klassifikation Polyclonal
Konzentration 1 mg/mL
Konjugat Unconjugated
Zusammensetzung PBS with 50% glycerol and 0.02% sodium azide; pH 7.4
Gen LUC7L2
Gen-Zugriffsnummer Q7TNC4, Q9Y383
Gen-Alias 4930471C18Rik; AA522013; AU015269; CGI59; CGI-59; Cgi74; CGI-74; CGI-74 homolog; CGI-74-like SR-rich; LUC7 like 2, pre-mRNA splicing factor; LUC7B2; LUC7L2; LUC7-like 2; LUC7-like 2 (S. cerevisiae); LUC7-like 2 pre-mRNA splicing factor; Putative RNA-binding protein Luc7-like 2
Gensymbole LUC7L2
Wirtsspezies Rabbit
Immunogen Synthesized peptide derived from human LUC7L2.
Reinigungsverfahren Antigen affinity chromatography
Menge 100 μL
Regulatorischer Status RUO
Primär oder sekundär Primary
Gen-ID (Entrez) 192196, 51631
Zielspezies Human, Mouse
Inhalt und Lagerung -20°C
Produkttyp Antibody
Form Liquid
Isotype IgG
Mehr anzeigen Weniger anzeigen
Name des Produkts
Wählen Sie ein Thema

Indem Sie auf Absenden klicken, erklären Sie sich damit einverstanden, dass Fisher Scientific sich mit Ihnen in Verbindung setzen kann, um Ihr Feedback in diesem Formular zu bearbeiten. Wir werden Ihre Informationen nicht für andere Zwecke weitergeben. Alle bereitgestellten Kontaktinformationen werden in Übereinstimmung mit unserer Datenschutzrichtlinie aufbewahrt. Datenschutzrichtlinie.