missing translation for 'onlineSavingsMsg'
Learn More
Learn More
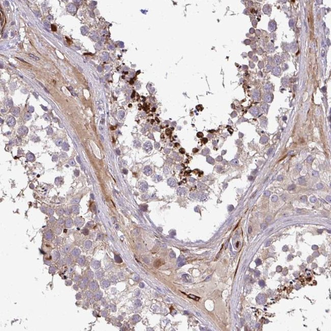
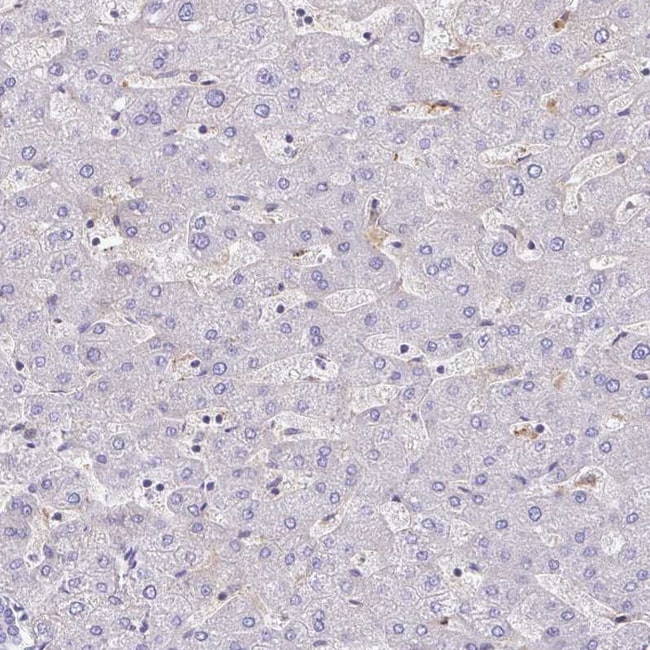
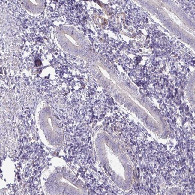
Invitrogen™ GRID2 Polyclonal Antibody

Rabbit Polyclonal Antibody
Marke: Invitrogen™ PA563583
Dieser Artikel kann nicht zurückgegeben werden.
Rückgaberichtlinie anzeigen
Beschreibung
Immunogen sequence: AVYEHVRMKG LNPFERDSMY SQMWRMINRS NGSENNVLES QAGIQKVKYG NYAFVWDAAV LEYVAINDPD CSFYTIGNTV ADR Highest antigen sequence identity to the following orthologs: Mouse - 98%, Rat - 98%.
GRID2 is a member of the family of ionotropic glutamate receptors which are the predominant excitatory neurotransmitter receptors in the mammalian brain. The encoded protein is a multi-pass membrane protein that is expressed selectively in cerebellar Purkinje cells. A point mutation in the mouse ortholog, associated with the phenotype named 'lurcher', in the heterozygous state leads to ataxia resulting from selective, cell-autonomous apoptosis of cerebellar Purkinje cells during postnatal development. Mice homozygous for this mutation die shortly after birth from massive loss of mid- and hindbrain neurons during late embryogenesis. This protein also plays a role in synapse organization between parallel fibers and Purkinje cells. Alternate splicing results in multiple transcript variants encoding distinct isoforms. Mutations in this gene cause cerebellar ataxia in humans.
Spezifikation
| GRID2 | |
| Polyclonal | |
| Unconjugated | |
| GRID2 | |
| B230104L07Rik; cpr; creeper; GluD2; gluR delta-2 subunit; GLURD2; GluRdelta2; glutamate ionotropic receptor delta type subunit 2; glutamate receptor; glutamate receptor delta-2 subunit; glutamate receptor ionotropic, delta-2; glutamate receptor, ionotropic, delta 2; Grid2; ho; hotfoot; Lc; Lc>J>; lurcher; minisatellite 10ac detected by probe MMS10; MMS10-AC; Ms10ac; nmf408; SCAR18; tpr | |
| Rabbit | |
| Antigen Affinity Chromatography | |
| RUO | |
| 2895 | |
| Store at 4°C short term. For long term storage, store at -20°C, avoiding freeze/thaw cycles. | |
| Liquid |
| Immunohistochemistry (Paraffin) | |
| 0.05 mg/mL | |
| PBS with 40% glycerol and 0.02% sodium azide; pH 7.2 | |
| O43424 | |
| GRID2 | |
| Recombinant protein corresponding to Human GRID2. Recombinant protein control fragment (Product #RP-101821). | |
| 100 μL | |
| Primary | |
| Human | |
| Antibody | |
| IgG |
Berichtigung von Produktinhalten
Bitte geben Sie uns Ihr Feedback zu den Produktinhalten, indem Sie das folgende Formular ausfüllen.
Name des Produkts
Haben Sie Verbesserungsvorschläge?Übermitteln Sie eine inhaltliche Korrektur