Learn More
Invitrogen™ Annexin A2 Polyclonal Antibody
Beschreibung
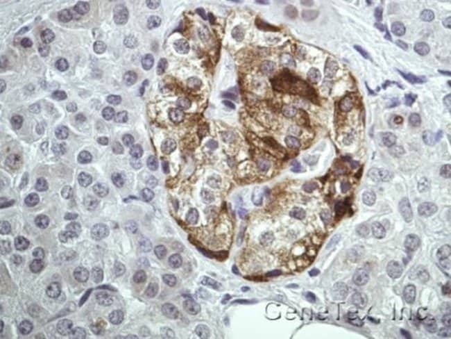
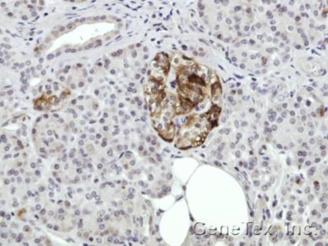
Recommended positive controls: A549, HeLa, HCT116, human ANXA2-transfected 293T. Predicted reactivity: Mouse (100%), Rat (100%), Dog (100%), Pig (100%), Sheep (100%), Bovine (100%). Store product as a concentrated solution. Centrifuge briefly prior to opening the vial.
Spezifikation
Spezifikation
| Antigen | Annexin A2 |
| Anwendungen | Immunohistochemistry (Paraffin), Immunoprecipitation, Western Blot, Immunocytochemistry |
| Klassifikation | Polyclonal |
| Konzentration | 0.75 mg/mL |
| Konjugat | Unconjugated |
| Zusammensetzung | 0.1M tris glycine with 20% glycerol and 0.01% thimerosal; pH 7 |
| Gen | ANXA2 |
| Gen-Zugriffsnummer | P07355 |
| Gen-Alias | 33-kDa calcimedin; 33-kDa lymphocyte Ca>2+>- binding protein; 33kDa lymphocyte Ca>2+>- binding protein; 36-kDa calelectrin; annexin 2; annexin A2; annexin A2 isoform 2; annexin II; Annexin-2; ANX2; ANX2L4; ANXA2; AW215814; CAL1H; calpactin I heavy chain; calpactin I heavy chain (p36); calpactin I heavy polypeptide; calpactin-1 heavy chain; chromobindin 8; chromobindin-8; epididymis secretory protein Li 270; HEL-S-270; LIP2; lipocortin II; LPC2; LPC2D; p36; PAP-IV; Placental anticoagulant protein IV; protein I |
| Gensymbole | ANXA2 |
| Mehr anzeigen |
Indem Sie auf Absenden klicken, erklären Sie sich damit einverstanden, dass Fisher Scientific sich mit Ihnen in Verbindung setzen kann, um Ihr Feedback in diesem Formular zu bearbeiten. Wir werden Ihre Informationen nicht für andere Zwecke weitergeben. Alle bereitgestellten Kontaktinformationen werden in Übereinstimmung mit unserer Datenschutzrichtlinie aufbewahrt. Datenschutzrichtlinie.