missing translation for 'onlineSavingsMsg'
Learn More
Learn More
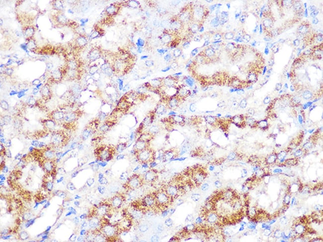
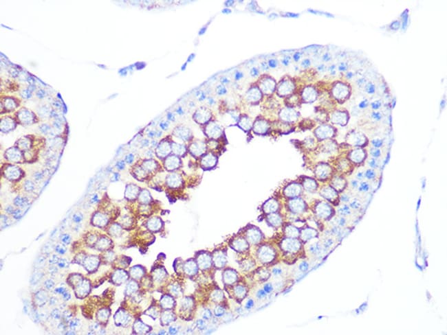
Invitrogen™ EBP1 Recombinant Rabbit Monoclonal Antibody (9J9U5)

Beschreibung
Immunogen sequence: ELLQPFNVLY EKEGEFVAQF KFTVLLMPNG PMRITSGPFE PDLYKSEMEV QDAELKALLQ SSASRKTQKK KKKKASKTAE NATSGETLEE NEAGD.
This gene encodes an RNA-binding protein that is involved in growth regulation. This protein is present in pre-ribosomal ribonucleoprotein complexes and may be involved in ribosome assembly and the regulation of intermediate and late steps of rRNA processing. This protein can interact with the cytoplasmic domain of the ErbB3 receptor and may contribute to transducing growth regulatory signals. This protein is also a transcriptional co-repressor of androgen receptor-regulated genes and other cell cycle regulatory genes through its interactions with histone deacetylases. This protein has been implicated in growth inhibition and the induction of differentiation of human cancer cells. Six pseudogenes, located on chromosomes 3, 6, 9, 18, 20 and X, have been identified.
Spezifikation
Spezifikation
| Antigen | EBP1 |
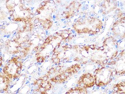
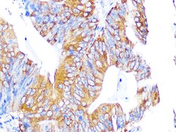
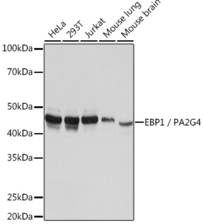
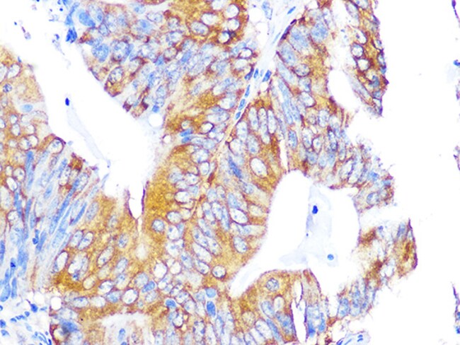
| Anwendungen | ELISA, Immunohistochemistry (Paraffin), Western Blot, Immunocytochemistry |
| Klassifikation | Recombinant Monoclonal |
| Klon | 9J9U5 |
| Konzentration | 0.45 mg/mL |
| Konjugat | Unconjugated |
| Zusammensetzung | PBS with 0.05% BSA, 50% glycerol and 0.02% sodium azide; pH 7.3 |
| Gen | Pa2g4 |
| Gen-Zugriffsnummer | P50580, Q6AYD3, Q9UQ80 |
| Gen-Alias | 38kDa; AA672939; Cell cycle protein p38-2G4 homolog; Ebp1; ErbB-3 binding protein 1; ErbB3-binding protein 1; ErbB3-binding protein Ebp1; hG4 1; hG4-1; IRES-specific cellular trans-acting factor 45 kDa; ITAF45; MGC81621; MGC94070; Mpp1; p38 2G4; p38-2G4; Pa2g4; Plfap; proliferation-associated 2G4; proliferation-associated 2G4, 38kD; proliferation-associated 2G4, 38kDa; proliferation-associated protein 1; Proliferation-associated protein 2G4; protein p38-2G4; si:dz150i12.2; wu:fb19b11; wu:ft56d05; zgc:86732 |
| Mehr anzeigen |
Name des Produkts
Indem Sie auf Absenden klicken, erklären Sie sich damit einverstanden, dass Fisher Scientific sich mit Ihnen in Verbindung setzen kann, um Ihr Feedback in diesem Formular zu bearbeiten. Wir werden Ihre Informationen nicht für andere Zwecke weitergeben. Alle bereitgestellten Kontaktinformationen werden in Übereinstimmung mit unserer Datenschutzrichtlinie aufbewahrt. Datenschutzrichtlinie.
Haben Sie Verbesserungsvorschläge?